脑肿瘤
数十年前的脑肿瘤诊断及医治方法极具难度,但随着影像扫描及手术技术的进步,很多患者都可在较初期时确诊,从而使脑肿瘤治愈率大增。
脑肿瘤可以分为良性非癌肿和恶性癌肿两种。
如果肿瘤是在脑部开始,称为原发性脑肿瘤。如果肿瘤是由身体其他部位扩散到脑部,则称为继发性脑肿瘤。在各种类型的癌肿中,肺癌和乳癌最容易扩散到脑部。
良性脑肿瘤只要动手术切除,一般都不会对健康构成威胁。但即使切除后只剩下很小一块,有时候也可能会再次繁殖扩大。有需要的话,这类复发的良性瘤通常可以再次动手术切除。如果良性脑肿瘤的位置不当,也可能危害生命。原发性的恶性脑肿瘤很少扩散到身体其他部位,但会入侵四周的正常脑部组织,对健康构成威胁。
脑肿瘤的类型脑肿瘤的种类超过40种,但是主要可以分为两大类,良性和恶性肿瘤。与其他的癌症比较,脑肿瘤良性和恶性之间的差别无法明显的区分。
良性肿瘤
- 多数为生长缓慢的细胞
- 极少扩散
- 常见的种类︰脑膜瘤、神经瘤、脑垂体瘤、颅咽管瘤
恶性肿瘤
- 癌细胞可能扩散到脑部或脊椎其他部分。这些肿瘤在不断分裂成长的过程中可能压迫附近脑组织,以致威胁性命
- 不同种类的恶性肿瘤,其成长方式和对治疗的反应可能非常不一样
- 有些癌细胞限制在某个特定地区。另些癌细胞可能扩展到肿瘤外围的组织
- 通常以原发处的细胞命名
- 常见的种类︰星形细胞瘤,树突胶质细胞瘤,空管膜细胞瘤和混合型神经胶细胞瘤
脑积水
脑腔内部的脑液通过细窄的管道流动。如果脑肿瘤阻碍了脑液的流动,液压上升会给予脑部压力,这称为脑水肿。这种现象有时会在脑肿瘤儿童患者中出现,可以用分流的方法治疗。
脑肿瘤的成因
脑癌肿的起因至今未明。但是下列的因素可能增加患病的可能性︰
- 年龄-任何年龄都有可能患上脑肿瘤,但是40岁以上人士的风险比较高;儿童脑癌肿发病时间一般来说是在3至12岁之间
- 性别-男性患病的机率较高
- 家族内有人曾患神经胶质瘤
- 工作环境中会接触辐射物、甲醛、氯乙烯和丙烯的人
但是也有人没有以上的任何一种危机因素,仍然会患上脑肿瘤。
脑肿瘤的阶段
脑肿瘤的阶段分一至四级,级数的断定取决于肿瘤生长的速度以及侵入附近组织的能力。
- 第一、二级(轻级)肿瘤的生长非常缓慢
- 第三级(中级)肿瘤以中等速度生长
- 第四级(重级)肿瘤以快速度生长
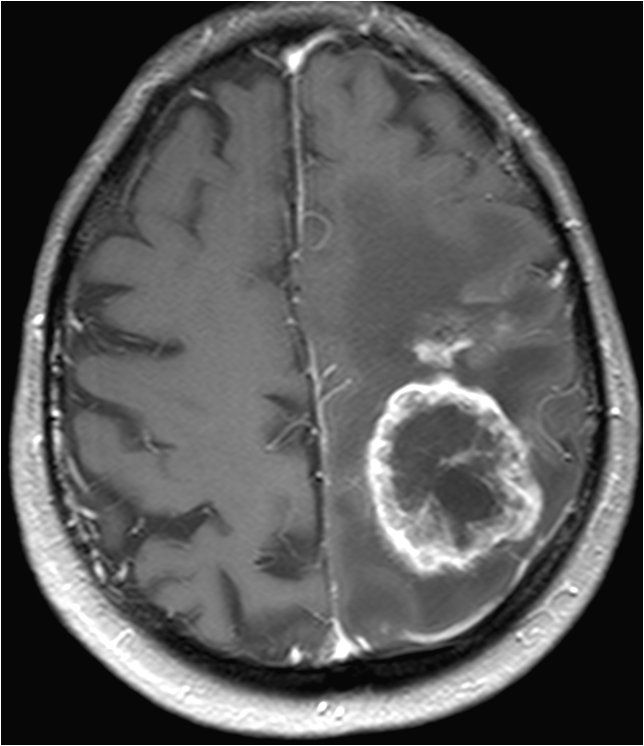
脑肿瘤患者一般有头痛、头晕、呕吐、视力模糊、手脚无力或麻痹等征状,视乎肿瘤所生长位置,病征亦包括癫痫、内分泌失调、甚至性情及行为改变等。现今的脑扫描技术已相当发达。计算机扫描和磁力共振是最常采用的诊断仪器。
磁力共振不涉及辐射危险性,只需要病人躺卧在具有强大磁场的仪器上进行扫描,过程中病人不会感觉痛楚。磁力共振影像可作多个不同角度和透过不同「拍摄」方法,取得肿瘤的多项影像参数,从而让脑神经外科医生为病人作出最合适的治理方案。
现今的脑外科手术技术已能够让脑神经外科医生在安全,甚至微创的环境下施行手术。一般情况下,病人很多时毋须剃光头发也可进行手术,术后的康复时间亦大为缩短。另某些种类的肿瘤如听觉神经瘤,可用非手术的方法如放射外科治理,成效可靠而且副作用亦不大。





