颈椎手术
颈椎手术可用于:
- 神经减压
- 稳定脊椎
- 切除肿瘤
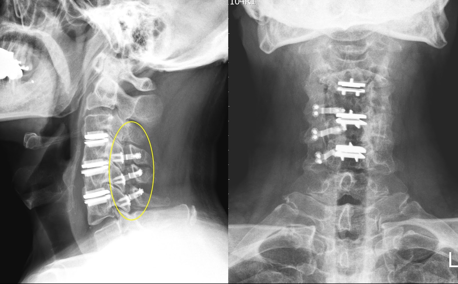
颈椎前路椎间盘切除及融合术是常见的颈椎手术,例如椎间盘突出、椎间盘退变性疾病及脊椎不稳定等。 椎间盘切除术是切除脊椎骨间的椎间盘及碎片,切除后,医生会以植骨填补之间的空隙。 此手术的目的是协助两块椎骨愈合在一起(称之为「融合」)。 在融合期间,为提高稳定性,医生可能会在脊椎骨上放入金属板(支架、镙丝及骨板)以巩固植骨。 治疗成效此手术可治疗由颈椎病所引致的症状,有助减低疼痛及预防进一步永久性神经损害,亦可改善颈部灵活性。 手术须在全身麻醉下进行。 颈椎开刀的位置因人而异,可能从左方或右方开刀。 在手术室可能会借助X光造影确定手术位置,由X-光导引确定病变位置,切除压在脊椎神经上的受损间盘及碎片。 减压后,可能需要进行颈椎融合术,把金属板固定在脊椎骨内以金属支架辅助支撑。
风险及并发症
- 损伤:
- 喉部、喉部神经(喉返神经)损伤,导致声带麻痹及声音沙哑,多属暂时性质。
- 颈动脉损伤,可引发中风而导致永久瘫痪。
- 脊髓损伤,可导致暂时性或永久性四肢麻痹。
- 神经根管损伤,可导致上肢软弱、感觉损失或暂时性或永久性痛症。
- 伤口感染导致发红、痛楚及可能有流脓或脓肿。
- 骨骼与支架无法融合。
- 金属支架移动可导致吞咽困难,或移位导致神经衰退。
- 持续疼痛
进行手术后病人从麻醉状态中恢复后,即可开始口部喂食。
全身麻醉后,病人可能会因麻醉时曾插喉而引致喉部轻微不适或疼痛;出现麻醉药的副作用,包括疲倦、渴睡、恶心或呕吐,如情况持续或加剧,请通知护士。
如伤口感到疼痛,可通知护士,护士会按医生指示为病人注射止痛针或提供口服止痛药。
当病人能够自行进食及排出尿液,情况稳定,手术后1至2天内已可以出院。
出院后注意事项
- 如有需要,可服用医生处方之止痛药。
- 神经系统康复取决于病人的病情及症状的严重性而定,一般伤口康复需时4 –6周。
- 病人应避免向前或向后弯曲头部。
- 避免提取重物。
- 病人可逐渐恢复正常活动,建议病人多散步,应避免长时间坐着不动。
- 视乎情况,手术后可能需要使用颈圈数月,以助植骨康复与融合。
- 除特别指示外,病人出院后可如常沐浴,沐浴后请保持敷料清洁及干爽。 缝线或缝钉会在覆诊时拆除。
- 如伤口部位的痛楚加剧及出现红肿、渗脓、大量出血或发热(体温高达38oC或以上),请即联络医生。
- 请于指定日期、时间覆诊。
某類病人的风险程度可为不同。 可能发生的风险或并发症亦不能尽錄。 如有查询,请聯络我们的脑神经外科医生。




